- ホーム
- むし歯の治療
むし歯の治療
こどものむし歯
乳歯は生えかわるから、痛がらないから、とむし歯を放置してはいませんか?乳歯のむし歯は永久歯や、将来の歯ならびにも影響することがあります。また、ひどいむし歯を放っておくとむし歯から血液中に菌が入り、全身に悪影響をおよぼすこともあります。
子どもが泣いてしまって治療が受けられなかった場合でも大丈夫です。お子さんの年齢や適応度、さまざまな事情を考慮して治療を行っています。
初期むし歯
初期のむし歯は再石灰化(さいせっかいか)といって治ることがあります。再石灰化させるためには、いつも以上に歯みがきや間食に対する注意が必要です。再石灰化を促進するためにフッ素をおすすめすることもあります。
進行したむし歯
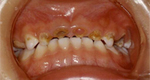
|
治療前 |
|
治療後 |
|
> | |
穴のあいてしまったむし歯の治療は、おとなと変わりはありません。むし歯の部分を削ってコンポジットレジンというプラスチックや金属で治します。むし歯が大きい場合には金属の冠で治します。歯の中の神経まで進行している場合には、神経をとらなければならず、治療も数回かかります。多くの場合で局所麻酔が必要となるので、お子さんにとってはいやなものです。新たなむし歯ができないように、むし歯予防をしていきましょう。
