- ホーム
- 歯のけが
歯のけが
お子さんが歯や口の周りをけがしたら、次の順番でチェックしてください。
1.意識がはっきりしているか?
歯をけがした場合、頭や顔にもけがをしていることがあります。意識がはっきりしない場合や、出血の程度がひどい場合には、医療機関への受診が必要になります。
とくに頭をけがしていて鼻や耳から出血がある場合には、量が少なくてもすぐに医療機関を受診して下さい。
- 救急車の要請 119
- 東京都の救急病院をさがす(東京消防庁のホームページ内)モバイル版
2.からだの他の部分にけがはないか?
骨折や流れるような出血がある場合には医療機関を受診し、交通事故の場合は警察への届け出を行います。
- ひまわりテレホンサービス(音声応答受付) 03-5272-0303
(問合せ時間に診療を行っている近くの医療機関を案内) - 東京都の医療機関をさがす(東京都医療機関案内サービス「ひまわり」内)
- 東京都の休日・夜間診療の診療所をさがす(東京都医師会ホームページ内)
3.歯や口の周りの状態はどうか?
からだのほかの部分にけががなければ歯科を受診します。かみ合わせが変わったり、あごが動かせない場合、骨折が疑われるので、口腔外科(または整形外科)を受診します。
骨折がなく、歯が欠けたり折れたりした場合、抜けた場合には小児歯科を受診するのが良いでしょう。
欠けた歯の破片や抜けた歯がある場合には、洗い流したり汚れをふき取らずに、生理食塩水に入れて持参して下さい。ない場合にはコンタクトレンズの保存液や牛乳でも代用できます。くちびるを切って出血がなかなか止まらない場合には清潔なガーゼでしっかりと傷口を押さえておきます。
歯のけがの場合、処置が早ければ早いほど歯を助けられる可能性が高くなります。かかりつけの医院がある場合には歯の外傷に対応してもらえるかどうか、受診の前に電話で確認しておくと良いでしょう。
- 日本大学付属歯科病院 03-3219-8080
- ひまわりテレホンサービス(音声応答受付) 03-5272-0303
(問合せ時間に診療を行っている近くの医療機関を案内) - 夜間・休日診療の歯科をさがす
(東京都医療機関案内サービス「ひまわり」内・「当番医をさがす」から検索)
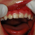
歯のけがの治療の例
|
治療前 |
固定中 |
固定除去後 |
||
![]() |
> |
![]() |
> |
![]() |
前歯2本をぶつけて歯の位置が内側にずれていたので、正常な位置にもどして固定しました。



