- ホーム
- 歯ならびの治療
歯ならびの治療
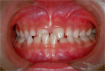
反対咬合の治療の一例
|
治療前 |
治療中 |
治療後 |
||
![]() |
> |
|
> |
|
反対咬合で前歯数本の上下のかみ合わせが逆さまになっています。上あごの成長量が少ないことが反対咬合の原因でしたので、上あごの歯にワイヤーをつけて、顔の外の装置から引っ張ることで成長を促し、反対咬合を改善しました。
保隙(ほげき)とは
むし歯や歯のけがなどで本来抜けるべき時期よりも早くに乳歯を失った場合、放置しておくと歯ならびやかみ合わせが悪くなることがあります。また、歯がないことで舌や唇の有害なくせを生じることもあります。これらを予防するため、永久歯が生えるまでの期間に使用するものを保隙装置といいます。
保隙装置の例
|
抜歯後 |
|
クラウンループ |
|
> | ![]() |


